Saticoy Plaza Dentistry
A Great Dentist

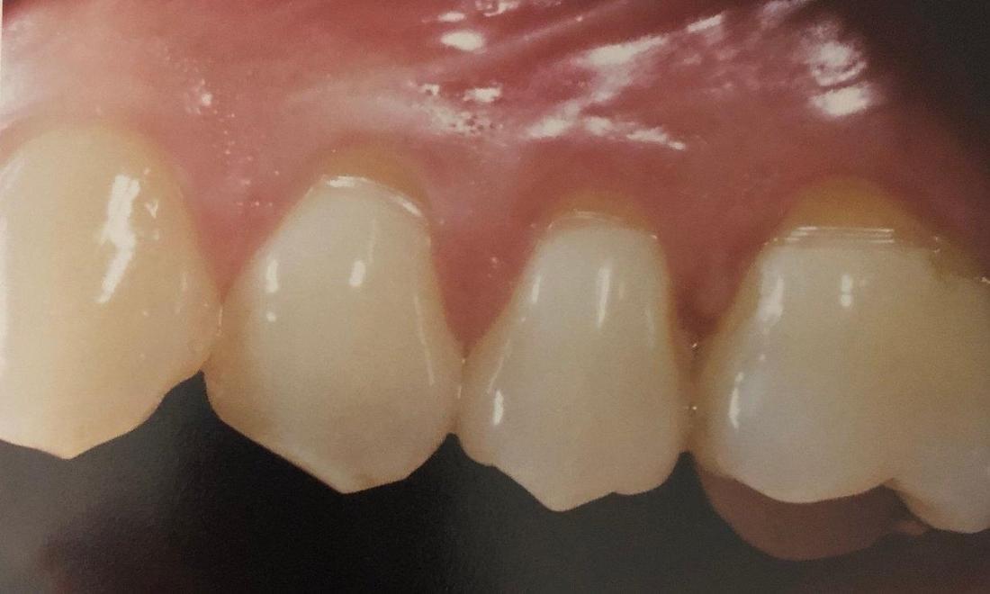
Root Cavities / Abrasions

This patient was having extreme sensitivity due to tooth abrasions on three teeth by the gumline. Tooth abrasions are a form of tooth wear that occurs from excessive tooth brushing or brushing with too much pressure. We bonded three white fillings that matched her tooth color to seal these abrasions and protect the teeth from further damage.

Ready to book an appointment?
If you have difficulty using our website, please email us or call us at (818) 708-9889