Saticoy Plaza Dentistry
A Great Dentist

Crowns

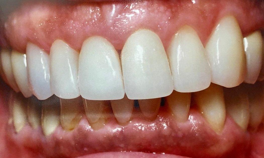
This patient was unhappy with her broken and disfigured front teeth. She also had many large cavities which gave the teeth a darker brown appearance and were also causing pain and sensitivity. All the cavities were removed, and the front teeth were designed for white porcelain ceramic crowns. The patient was very happy with her new beautiful healthy smile!
Ready to book an appointment?
If you have difficulty using our website, please email us or call us at (818) 708-9889