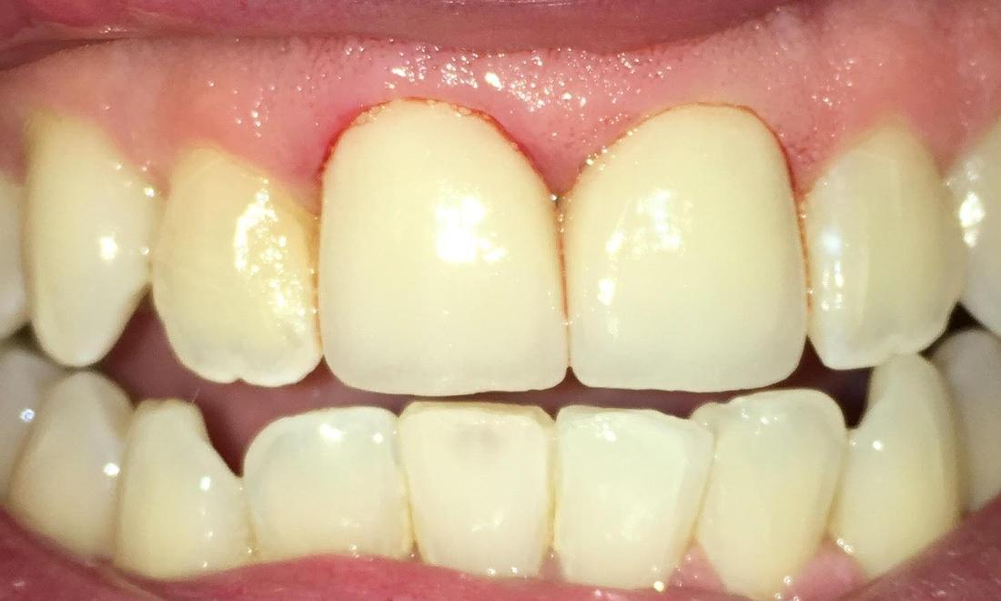
This patient was unhappy with the appearance of his two front teeth. We removed his old metal crowns which were uneven and broken down. We whitened all the rest of the teeth, and bonded two beautiful porcelain crowns which resulted in a more natural smile.
If you have difficulty using our website, please email us
or call us at (818) 708-9889
View the ADA Accessibility Statement
 
