Saticoy Plaza Dentistry
A Great Dentist

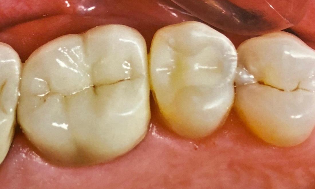
Porcelain Dental Crown and White Filling

Patient has very old silver fillings with cavities around them. The silver fillings were first removed and the cavities were cleaned out. An all-porcelain crown was placed on the back tooth with the larger silver filling and cavity. A white tooth-colored filling was placed on the tooth in front of it.
Saticoy Plaza Dentistry Van Nuys - Patient Testimonial
Ready to book an appointment?
If you have difficulty using our website, please email us or call us at (818) 708-9889
View the ADA Accessibility Statement